
What is Tartar?
What Is Tartar?
Tartar, also known as dental calculus, is more than just a cosmetic issue—it’s a hardened buildup on your teeth that can lead to serious dental health problems if left untreated. While it starts as soft plaque, tartar is what happens when that plaque isn’t removed and has a chance to calcify. This guide will walk you through everything you need to know about tartar, including how it forms, how it affects your teeth and gums, and when it might be time to consult an expert such as a periodontist or implant specialist.
1. What Is Tartar?
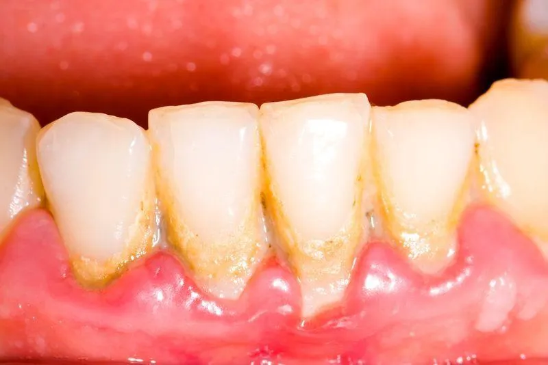
Tartar is a hard, yellow or brown substance that forms on the surface of your teeth and below the gumline. It starts as plaque—a sticky film made of bacteria, food particles, and saliva. If plaque isn’t brushed and flossed away daily, it begins to harden within 24 to 72 hours, turning into tartar.
Once tartar forms, it cannot be removed by brushing or flossing and requires professional dental tools for removal. It's especially concerning when it builds up below the gumline, where it can silently cause damage to the gums, roots of the teeth, and even the supporting bone structure.
2. What Causes Tartar?
Tartar formation is the result of plaque buildup that isn’t removed in time. Several factors can contribute to how quickly and heavily tartar forms:
Poor brushing and flossing habits
Diets high in sugars and starches
Smoking or chewing tobacco
Dry mouth or reduced saliva production
Skipping regular dental cleanings
Orthodontic appliances that make hygiene difficult
Everyone has bacteria in their mouth, but not everyone forms tartar at the same rate. Some people naturally have a higher mineral content in their saliva, making them more prone to tartar buildup.
3. How Does Tartar Affect Teeth and Gums?
While tartar may seem like just a cosmetic issue at first, it can lead to serious oral health complications:
Gum Inflammation (Gingivitis):Tartar irritates the gums, causing redness, swelling, and bleeding. This is the first stage of gum disease.
Periodontal Disease:If gingivitis progresses, the tartar below the gumline creates pockets of infection. This damages the soft tissue and can lead to bone loss.
Tooth Decay:Tartar traps bacteria against the teeth and gums, making it easier for cavities to develop.
Bad Breath:The bacteria in tartar produce foul-smelling compounds.
Tooth Loss:In advanced cases, the bone and tissue supporting your teeth can deteriorate, resulting in loose teeth or tooth loss.
Complications with Implants:If you’re considering or already have dental implants, tartar and gum disease can compromise the health of surrounding tissues and the implant itself.
4. How Can I Prevent Tartar?
The good news is that tartar is preventable with good oral hygiene and lifestyle habits:
Brush thoroughly twice a dayusing a fluoride toothpaste and a soft-bristled toothbrush. Electric toothbrushes may be more effective at reducing plaque.
Floss dailyto remove plaque between the teeth and along the gumline.
Use an antiseptic or tartar-control mouthwashto kill bacteria and reduce plaque formation.
Eat a balanced diet, limiting sugary snacks and acidic drinks that feed bacteria.
Drink plenty of waterto support saliva production and rinse away food particles.
Avoid tobaccoin all forms—it's strongly associated with tartar buildup and gum disease.
5. What Can I Do at Home to Help with Tartar?
While you can’t remove existing tartar at home, you can take action to reduce plaque and slow further buildup:
Use tartar-control toothpaste: These contain ingredients like pyrophosphates or zinc citrate that help prevent new tartar from forming.
Consider dental tools cautiously: Some people attempt to use plaque scrapers at home, but improper use can damage enamel or gums. It’s best to leave tartar removal to dental professionals.
Stay on top of your routine: Consistency is key. Set reminders or use apps to keep up with your brushing and flossing schedule.
6. When Do I Need an Expert to Help with Tartar?
Regular dental cleanings every 6 months are usually enough to remove tartar and monitor gum health. But when tartar builds below the gumline or gum disease begins to develop, more advanced care is often needed:
Signs You May Need Professional Help:
Gums that bleed, swell, or recede
Persistent bad breath
Loose teeth or shifting bite
Deep pockets forming between teeth and gums
Increased sensitivity or pain
Advanced Treatments May Include:
Scaling and Root Planning (Deep Cleaning):This non-surgical procedure removes tartar from beneath the gumline and smooths root surfaces to help gums reattach.
Laser Therapy:In some cases, lasers are used to remove infected tissue and tartar buildup.
Surgical Intervention:If gum disease progresses, procedures like flap surgery or bone grafts may be necessary.
Periodontal Maintenance:After initial treatment, regular visits with a periodontist are often needed to keep gum disease from returning.
Implant Care and Recovery:If teeth are lost due to tartar-related periodontal disease, a specialist may place dental implants. Healthy gums and bones are essential for successful implant placement.
7. Final Thoughts
Tartar may start as a small issue, but if ignored, it can have major consequences for your oral and overall health. The best approach isprevention and early intervention. If you’re noticing any signs of tartar buildup or gum issues—or if it’s been a while since your last dental cleaning—now is the time to act.
At our clinic, we specialize in identifying and treating tartar-related issues before they become serious. Whether you need a routine cleaning or advanced periodontal or dental implant care, we’re here to help.
